インプラント
Blog--インプラント

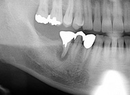
左下欠損部インプラント

三鷹市、ファミリー歯科医院、院長の佐野真弘です。 先日、左下欠損のある患者さんにインプラント処置を黒田先生と行いました。 先週に引き続いて麻酔医の元橋先生にもお越し頂き、静脈内鎮静法にて処置が行われました。 この患者さん…
続きを読む

投稿日:2009年12月22日

抜歯→再建→インプラント

三鷹市、ファミリー歯科医院、院長の佐野真弘です。 先日、右下欠損部に対してインプラント処置が行われました。 左の写真から右の写真に至るまでは、ある程度の期間かけていろいろなことをやっておりますが、悪い歯を放置して骨が吸収…
続きを読む

投稿日:2009年12月16日

右下欠損部インプラント

三鷹市、ファミリー歯科医院、院長の佐野真弘です。 先日、右下欠損部のある患者さんに対してのインプラント処置がありました。 半年ほど前に虫歯でボロボロの状態の歯を抜歯し、ずっと欠損のままで過ごされてきましたが 義歯ではなく…
続きを読む

投稿日:2009年12月7日

歯根破折→インプラント

三鷹市、ファミリー歯科医院、院長の佐野真弘です。 この患者さんは、歯根が割れてしまい、抜歯になってしまいました。             歯が真っ二つに割れて周…
続きを読む

投稿日:2009年10月3日

歯根破折→抜歯即時インプラント

三鷹市、ファミリー歯科医院、院長の佐野真弘です。 先日、上前歯がスポーツの際にぶつけて破折してしまった方の抜歯即時インプラントを黒田先生と共同して行いました。 隣在歯は共に天然歯でしたし、年齢も若かったので、ブリッジで削…
続きを読む

投稿日:2009年7月14日

左下中間欠損上部構造完成

三鷹市、ファミリー歯科医院、院長の佐野真弘です。 本日左下中間欠損のインプラントの上部構造をセットいたしました。この方は咬合力が強く、噛み締め(クレンチング)の癖がある方です。そもそも何故 インプラントを入れたかというと…
続きを読む

投稿日:2009年5月18日

右下咀嚼障害

三鷹市、ファミリー歯科医院、院長の佐野真弘です。 右でずっと上手く噛めなかった患者さんにインプラントの上部構造が入りました。取り外しの入れ歯は私にはどうも合わない、ということでインプラント 治療を行ってきました。この方は…
続きを読む

投稿日:2009年4月7日

左下インプラント埋入

三鷹市、ファミリー歯科医院、院長の佐野真弘です。 2日前に左下3本インプラント埋入した患者さんが消毒のために来院されました。この方は全顎的に治療させて頂いておりますが、予定では最後の埋入に なります。静脈内鎮静法で対応い…
続きを読む

投稿日:2009年3月30日

抜歯即時埋入

三鷹市、ファミリー歯科医院、院長の佐野真弘です。 歯根破折を起こしていた歯を抜歯し、インプラント即時埋入を行いました。術前に根管治療等行い、感染源をすべて除去してから行いました。幸い骨吸収 が起こる前に処置できましたので…
続きを読む

投稿日:2009年3月1日

上部構造完成

三鷹市ファミリー歯科医院、院長の佐野真弘です。 昨日は休診日ではありましたが、コンサルティングや三鷹市との連携会議、嘱託医など慌ただしい一日を送っていました。 本日は昨年の暮れよりインプラントの治療を行ってきました患者さ…
続きを読む

投稿日:2009年2月20日

診療時間早見表
午前診療
(9:30~13:00)
× ×
午前診療
(14:30~18:30)
× ×

● 最終受付18:00

◎ 水曜・土曜は17:00迄(最終受付16:30)

電話のお掛け間違いにご注意ください

0422-45-1750

お問い合わせ
診療カレンダー

診療
カレンダー

予約
お問い合わせ
診療
カレンダー
ページトップへ