歯根破折→インプラント
Blog--インプラント

三鷹市、ファミリー歯科医院、院長の佐野真弘です。

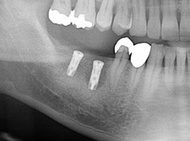
この患者さんは、歯根が割れてしまい、抜歯になってしまいました。

21.10.02.2.JPG

 

 

 

 

 

 

歯が真っ二つに割れて周りの骨が吸収して黒くなってしまっているのが分かります。

残念ながら抜歯をしてインプラントで対応することとなりました。

21.10.02.JPG

 

 

 

 

 

 

歯を抜いた周りの骨がしっかりと落ち着くまではしばらく待つことになりますが、

早く噛めるようになるといいですね。頑張って通ってくださいね。

カテゴリー:インプラント  投稿日:2009年10月3日

診療時間早見表
午前診療
(9:30~13:00)
× ×
午前診療
(14:30~18:30)
× ×

● 最終受付18:00

◎ 水曜・土曜は17:00迄(最終受付16:30)

電話のお掛け間違いにご注意ください

0422-45-1750

お問い合わせ
診療カレンダー

診療
カレンダー

予約
お問い合わせ
診療
カレンダー
ページトップへ