インプラント
Blog--インプラント

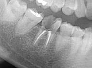
インプラント

三鷹市、ファミリー歯科医院、院長の佐野真弘です。 ここ最近インプラントの症例も増えてきています。   インプラントはチーム医療だと思っていますので、 ケースによっては歯科麻酔の先生に鎮静法等管理して頂くことも患…
続きを読む

投稿日:2012年5月16日

ブリッジは片方外れても分かりにくい?

三鷹市、ファミリー歯科医院、院長の佐野真弘です。 この患者さんですが、ブリッジが噛むと違和感がある、ということで来院されました。 レントゲン写真を撮ってみると何と片方の歯がブリッジから外れてしまっている状態でした。 &n…
続きを読む

投稿日:2011年2月5日

やっと上部構造完成

三鷹市、ファミリー歯科医院、院長の佐野真弘です。 この患者さんは、当院にてかれこれ30年近く治療させて頂いております。 今までずっと上下義歯を使用されてきたのですが、 インプラント希望ということで、数年がかりでインプラン…
続きを読む

投稿日:2011年1月6日

歯根破折からインプラントへ

三鷹市、ファミリー歯科医院、院長の佐野真弘です。 虫歯がひどく残念ながら抜歯に至ってしまった方です。 前後の歯はほぼ健全歯なので、ブリッジにするには抵抗があったようで、 インプラントをご希望なさいました。 こういったケー…
続きを読む

投稿日:2010年10月23日

インプラントは最善の治療法か?

三鷹市 ファミリー歯科医院 佐野サヤカです。 当院では、インプラント治療も行っておりますが インプラントって結局どうよ と思っている方もいると思うので、お話します。   インプラントを入れると  入れ歯より、よ…
続きを読む

投稿日:2010年10月15日

また右下でした。インプラント

三鷹市、ファミリー歯科医院、院長の佐野真弘です。 本日インプラントのオペがありました。 今回も右下2本です。どういう訳か分かりませんが、先週と全く同じ場所の処置になりました。 患者さんは大変に緊張されていたようでしたが、…
続きを読む

投稿日:2010年7月3日

右下インプラント

三鷹市、ファミリー歯科医院、院長の佐野真弘です。 本日、右下インプラント埋入処置がありました。 黒田先生と、今回は麻酔医の元橋先生にも手伝いに来て頂き、処置を行いました。 はじめはちょっと緊張されていたようでしたが、 鎮…
続きを読む

投稿日:2010年6月19日

右上臼歯部欠損→インプラント

三鷹市、ファミリー歯科医院、院長の佐野真弘です。 前々より右上が歯がなく、義歯を長年使用されてきた患者さんですが、 今回右上4本インプラント埋入となりました。 黒田先生と静脈内鎮静法を担当する元橋先生とで対応いたしました…
続きを読む

投稿日:2010年4月10日

ブリッジ、歯根破折→インプラント

三鷹市、ファミリー歯科医院、院長の佐野真弘です。 以前、他院にてブリッジ作成するもその後残念ながら歯根破折を起こしてしまい炎症が止まらず、 当院に来院された患者さんです。 結局破折した歯は抜歯となりインプラントの適応とな…
続きを読む

投稿日:2010年2月27日

歯根破折→抜歯→インプラント

三鷹市、ファミリー歯科医院、院長の佐野真弘です。 この患者さんも歯が割れてしまった方です。 噛む力が非常に強くマウスピースを使用してもらうように何年も前から指導していました。 しかしながら、食い止めることは出来ませんでし…
続きを読む

投稿日:2010年2月6日

診療時間早見表
午前診療
(9:30~13:00)
× ×
午前診療
(14:30~18:30)
× ×

● 最終受付18:00

◎ 水曜・土曜は17:00迄(最終受付16:30)

電話のお掛け間違いにご注意ください

0422-45-1750

お問い合わせ
診療カレンダー

診療
カレンダー

予約
お問い合わせ
診療
カレンダー
ページトップへ