ブリッジは片方外れても分かりにくい?
Blog--インプラント

三鷹市、ファミリー歯科医院、院長の佐野真弘です。

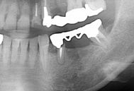
この患者さんですが、ブリッジが噛むと違和感がある、ということで来院されました。

レントゲン写真を撮ってみると何と片方の歯がブリッジから外れてしまっている状態でした。

 

ブリッジという治療は、文字通り橋をかける治療ですが、

最低でも3本は差し歯がつながっている状態です。

場合によっては、5本とか6本とか長くつながっているブリッジもあります。

その中で1本外れてしまっていても、患者さんにとっては分かりにくい場合もあります。

そして気がつかないうちに外れてしまった歯がだめになってしまうこともあります。

ですから、取れてこなくてもきちんと歯医者さんに行ってチェックしてもらうとよいと思います。

 

この患者さんは結局だめになってしまった歯は抜いて、インプラントになりました。

23.2.5.2.JPG
23.2.5.JPG

カテゴリー:インプラント, 歯科疾患  投稿日:2011年2月5日

診療時間早見表
午前診療
(9:30~13:00)
× ×
午前診療
(14:30~18:30)
× ×

● 最終受付18:00

◎ 水曜・土曜は17:00迄(最終受付16:30)

電話のお掛け間違いにご注意ください

0422-45-1750

お問い合わせ
診療カレンダー

診療
カレンダー

予約
お問い合わせ
診療
カレンダー
ページトップへ