歯科疾患
Blog--歯科疾患

歯科アレルギー外来

三鷹市、ファミリー歯科医院、院長の佐野真弘です。 昨日、歯科医師会の学術講演会があり、医科歯科大の歯科アレルギー外来の臨床教授でいらっしゃる松村先生にお越しいただきました。 金属アレルギーから最新の審美治療に至るまで、幅…
続きを読む

投稿日:2009年9月30日

歯周病と全身との関係(誤嚥性肺炎)

三鷹市、ファミリー歯科医院、院長の佐野真弘です。 最近歯周病と全身との関係がクローズアップされています。 よく指摘されるのが、高齢者の方です。高齢者の方は嚥下、すなわち飲み込むという機能が多少低下している場合が多く、そう…
続きを読む

投稿日:2009年9月15日

歯周病と全身との関係(糖尿病)

三鷹市、ファミリー歯科医院、院長の佐野真弘です。 歯周病というのは、御存じのようにお口の中にプラークや歯石などが歯の表面に付着し、その中にさまざまな細菌が繁殖して炎症を引き起こし、歯の周りを支えている骨(歯槽骨)が溶けて…
続きを読む

投稿日:2009年9月4日

二次カリエス

三鷹市、ファミリー歯科医院、院長の佐野真弘です。 以前に詰めた詰め物の下から虫歯になることを二次カリエスと言います。 例えば下の写真のように金属の詰め物が装着されていますが、一見すると問題ないように思われます。 &nbs…
続きを読む

投稿日:2009年8月1日

金属アレルギーの患者さん

三鷹市、ファミリー歯科医院、院長の佐野真弘です。 1年くらいかけて治療をしてきました、金属アレルギーのある患者さんの治療が終了いたしました。この方は自分の歯に被せている被せ物すべて、と入れ 歯からアレルゲン(アレルギーの…
続きを読む

投稿日:2009年6月1日

お疲れ様でした!

三鷹市、ファミリー歯科医院、院長の佐野真弘です。 今まで全額的に治療されてきました患者さんが本日、最後の治療が終了致しました。結局、1年半くらいかかってしまいました・・。本当にいろいろ悪い 状態で、はじめはどこから手をつ…
続きを読む

投稿日:2009年5月20日

口臭

三鷹市 ファミリー歯科医院 佐野サヤカです。 今回は口臭についてです。   口臭は大きく分けて次に三つに分けられます。   1.生理的口臭(生きているからしょうがない口臭) 2.病的口臭(お口の中や体…
続きを読む

投稿日:2009年4月30日

歯周病治療と予防

三鷹市 ファミリー歯科医院 佐野サヤカです。 当院では、歯周病の予防、治療に力を入れていますが なぜだと思いますか?   まず第一に、歯周病で歯が抜けてしまい食べにくくなると、食事が楽しくなくなるからです。栄養…
続きを読む

投稿日:2009年4月27日

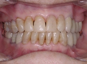
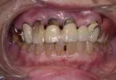
全顎的治療

三鷹、ファミリー歯科医院、院長の佐野真弘です。先日メンテナンスにいらした患者さんです。             左が術前で右が術直後です。この方は虫歯や歯周病、…
続きを読む

投稿日:2009年3月25日

歯と歯の間の虫歯

三鷹市、ファミリー歯科医院、院長の佐野真弘です。 一般的に虫歯というのは磨きにくいところに出来るものです。目立つところはみなさん気になってよく磨きますので、目立たないところが磨きにくいところであると言えます。要するに目立…
続きを読む

投稿日:2009年3月16日

診療時間早見表
午前診療
(9:30~13:00)
× ×
午前診療
(14:30~18:30)
× ×

● 最終受付18:00

◎ 水曜・土曜は17:00迄(最終受付16:30)

電話のお掛け間違いにご注意ください

0422-45-1750

お問い合わせ
診療カレンダー

診療
カレンダー

予約
お問い合わせ
診療
カレンダー
ページトップへ