審美歯科
Blog--審美歯科

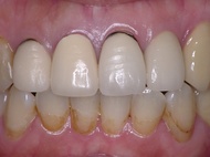
右上前歯矮小歯

三鷹市、ファミリー歯科医院、院長の佐野真弘です。右上前歯の生まれつき小さい歯(矮小歯)をダイレクトボンディングで対応いたしました。この方は 以前他医にてレジン充填処置を受けられていたのですが、経年変化によりレジンが変色し…
続きを読む

投稿日:2009年5月2日

前歯部審美障害

三鷹市、ファミリー歯科医院、院長の佐野真弘です。 上顎前歯正中部に隙間があり、審美障害を起こされていた方のダイレクトボンディングを行いました。今回は、歯を一切削ることなく処置いたしました。 あまりにも隙間が空き過ぎている…
続きを読む

投稿日:2009年4月25日

オールセラミック

三鷹市、ファミリー歯科医院、院長の佐野真弘です。 先日ジルコニアフレームのオールセラミッククラウンをセットいたしました。左上の側切歯ですが、だいぶ昔にセラミッククラウンの治療を受けられてお られたのですが、精査すると内部…
続きを読む

投稿日:2009年4月14日

全顎的治療

三鷹、ファミリー歯科医院、院長の佐野真弘です。先日メンテナンスにいらした患者さんです。             左が術前で右が術直後です。この方は虫歯や歯周病、…
続きを読む

投稿日:2009年3月25日

上前歯審美障害

三鷹市、ファミリー歯科医院、院長の佐野真弘です。 上の前歯ですが、かなり昔に神経の治療をされてプラスチックでカバーされていた患者さんのラミネート処置をいたしました。神経の治療をされているこ ともあって、すでにだいぶ歯が削…
続きを読む

投稿日:2009年2月25日

ブラックマージン2

三鷹市、ファミリー歯科医院、院長の佐野真弘です。 先日ブログで内部漏えいの話を書きましたが、そのブラックマージンだった前歯のセラミック処置が完了いたしました。患者さんも前歯でとても見えやす いところですから大変喜んで下さ…
続きを読む

投稿日:2009年1月30日

右下冷水痛

三鷹市、ファミリー歯科医院、院長の佐野真弘です。 H様右下が冷たいものがしみる、ということで来院されました。外見は全く問題なく知覚過敏の可能性も説明いたしましたが、レントゲンを撮ってみると中が大きく虫歯でした。見えやすい…
続きを読む

投稿日:2008年12月24日

上前歯審美障害

三鷹市、ファミリー歯科医院、院長の佐野真弘です。 上前歯の審美障害にて来院されたN様のダイレクトボンディングを行いました。まだ年齢も若く、虫歯でもなかったのですが、どうしても気になる、とい うことでよく相談してその結果治…
続きを読む

投稿日:2008年12月16日

オールセラミックブリッジ

三鷹、ファミリー歯科医院、院長の佐野真弘です。患者さんのジルコニアフレームのオールセラミックブリッジが入りました。この方は金属アレルギーのために口の中に金属を使用しないで治療することになっています。   &nb…
続きを読む

投稿日:2008年12月12日

ブラックマージン

三鷹、ファミリー歯科医院、院長の佐野真弘です。 ブラックマージンとは、差し歯などの根元が見えてしまい、そこが黒く変色してしまうことを言います。被せてから長時間経過して歯茎が下がることにより発生します。特に神経を取った歯や…
続きを読む

投稿日:2008年11月11日

診療時間早見表
午前診療
(9:30~13:00)
× ×
午前診療
(14:30~18:30)
× ×

● 最終受付18:00

◎ 水曜・土曜は17:00迄(最終受付16:30)

電話のお掛け間違いにご注意ください

0422-45-1750

お問い合わせ
診療カレンダー

診療
カレンダー

予約
お問い合わせ
診療
カレンダー
ページトップへ