オールセラミック
Blog--審美歯科

三鷹市、ファミリー歯科医院、院長の佐野真弘です。

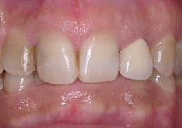
先日ジルコニアフレームのオールセラミッククラウンをセットいたしました。左上の側切歯ですが、だいぶ昔にセラミッククラウンの治療を受けられてお
られたのですが、精査すると内部が虫歯でぽっかり穴があいている状態でした。メタルコアから除去し、グラスファイバーのポストをセットし、その上にジルコ
ニアフレームのオールセラミッククラウンを装着いたしました。一見すると術前・術後であまり差がないように見えますが、何とか歯を助けられてよかったと
思っています。左が術前、右が術後です。

4.11.JPG
4.11.2.JPG

カテゴリー:審美歯科  投稿日:2009年4月14日

診療時間早見表
午前診療
(9:30~13:00)
× ×
午前診療
(14:30~18:30)
× ×

● 最終受付18:00

◎ 水曜・土曜は17:00迄(最終受付16:30)

電話のお掛け間違いにご注意ください

0422-45-1750

お問い合わせ
診療カレンダー

診療
カレンダー

予約
お問い合わせ
診療
カレンダー
ページトップへ