矯正治療と後戻り
Blog--予防歯科

三鷹市 ファミリー歯科医院 佐野サヤカです。

矯正治療後に後戻りしてしまった

という話を聞く事があると思います。

矯正後は保定装置を入れるのですが

入れ忘れたりすると、後戻りしてしまうのです。

 

しかし、原因はそれだけではありません。

歯並びが悪くなった原因として、

お口ポカンや、舌癖、頬杖、横向き、うつぶせ寝

等があります。

それらを患者さん自身が改善しない限り

緩やかに後戻りの方向に力がかかるので

後戻りしてしまうでしょう。

 

少し前までは、舌癖やうつぶせ寝等の態癖は、あまり知られていませんでしたが

最近は、それらが歯並びにとても悪いことが分かっています。

私たちの手に及ばないとことですので

自分で気をつける事が大切です。

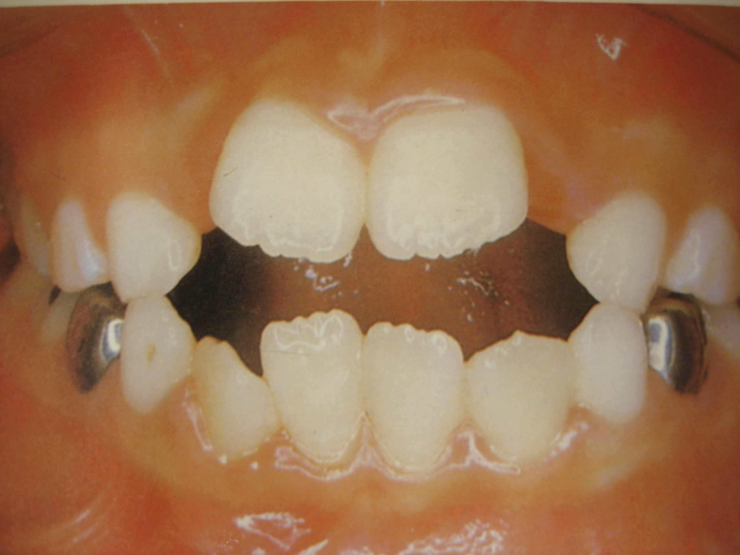
舌癖の例です。

 

DSC02182.JPG

DSC02183.JPG

カテゴリー:予防歯科, 小児歯科, 矯正  投稿日:2011年6月10日

診療時間早見表
午前診療
(9:30~13:00)
× ×
午前診療
(14:30~18:30)
× ×

● 最終受付18:00

◎ 水曜・土曜は17:00迄(最終受付16:30)

電話のお掛け間違いにご注意ください

0422-45-1750

お問い合わせ
診療カレンダー

診療
カレンダー

予約
お問い合わせ
診療
カレンダー
ページトップへ