ほんの少しの矯正で。
Blog--審美歯科

三鷹市 ファミリー歯科医院 佐野サヤカです。

本日、ご紹介するのは

前歯が重なっていたため、歯周病になり、右上の真ん中から二番目の歯が

抜歯になった症例です。

まえ.JPGのサムネール画像

真ん中の歯も傾きがひどく、
このまま削ってブリッジにするには、神経を取らなければならないほどです。

そこで、ほんの少しだけ、矯正治療をしました。

CIMG3056.JPGのサムネール画像

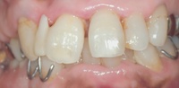
そして、ブリッジが入りました。

初めのころと比べると、とても美しくなりました。

今後は、歯周病の管理が必要になります。

せっかくきれいになったので

長く使えるようにメンテナンスしていきましょう。

カテゴリー:審美歯科, 矯正  投稿日:2010年12月14日

診療時間早見表
午前診療
(9:30~13:00)
× ×
午前診療
(14:30~18:30)
× ×

● 最終受付18:00

◎ 水曜・土曜は17:00迄(最終受付16:30)

電話のお掛け間違いにご注意ください

0422-45-1750

お問い合わせ
診療カレンダー

診療
カレンダー

予約
お問い合わせ
診療
カレンダー
ページトップへ