部分的な矯正治療
Blog--審美歯科

三鷹市 ファミリー歯科医院 佐野サヤカです。

 

今回は、部分的に歯並びを改善した症例についてお話します。

この方は、もともと左上犬歯が八重歯の状態になっていました。

 

犬歯の二本後ろの歯が割れて、抜く事になってしまったので、

「さあ、どうしよう。」ということになりました。

矯正という方法がなければ、そのまま前後を削ってブリッジとするか、

もしくはインプラント、または取り外しの義歯(入れ歯)ということになってきます。

 

この方は、抜いて余ったスペースがありましたので

そこに歯を移動させて、八重歯を治すことになりました。

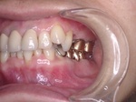
左が術前 右が術後です。

CIMG1165.JPG

 

 

 

22.3.12.JPG

 

術前です。 犬歯がとびだしています。

22.3.12.2.JPG

術後です。犬歯が整い、隙間も埋まりました。

残った隙間は、前後の冠の大きさを整えてなくしました。

 

 

 

今までは犬歯のところの口唇が出ていましたが

犬歯が整ったことで、口元の表情も良くなりました。

 取り外しの装置で改善でき、しかも今まで使っていなかった歯を最大限に

活用することが出来、患者様にも喜んでいただけました。

 

 

カテゴリー:審美歯科, 矯正  投稿日:2010年3月12日

診療時間早見表
午前診療
(9:30~13:00)
× ×
午前診療
(14:30~18:30)
× ×

● 最終受付18:00

◎ 水曜・土曜は17:00迄(最終受付16:30)

電話のお掛け間違いにご注意ください

0422-45-1750

お問い合わせ
診療カレンダー

診療
カレンダー

予約
お問い合わせ
診療
カレンダー
ページトップへ