両側下顎臼歯咀嚼障害
Blog--インプラント

三鷹市、ファミリー歯科医院、院長の佐野真弘です。

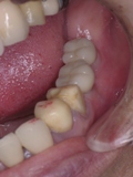
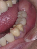
下の両側の奥歯がなく、長年にわたって義歯を使用されていた患者さんのインプラント処置が終了いたしました。まだ仮歯のところもあるので、完全に終
了している訳ではないのですが、両側にインプラントが入った、ということになります。インプラント処置は埋入してから骨と結合するまで数か月の間待つこと
になりますので、トータルの治療期間は他の治療法に比べてどうしても長めになりますが、喜んでおられました。

11160001.JPG
11160002.JPG

カテゴリー:インプラント  投稿日:2009年2月7日

診療時間早見表
午前診療
(9:30~13:00)
× ×
午前診療
(14:30~18:30)
× ×

● 最終受付18:00

◎ 水曜・土曜は17:00迄(最終受付16:30)

電話のお掛け間違いにご注意ください

0422-45-1750

お問い合わせ
診療カレンダー

診療
カレンダー

予約
お問い合わせ
診療
カレンダー
ページトップへ