インプラント2件オペ
Blog--インプラント
      三鷹市、ファミリー歯科医院、院長の佐野真弘です。
本日は午前・午後と2件のオペがありました。オペとオペの間の時間があまりなかったので、スタッフも大忙し(!)でした・・。
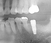
まず午前は右下2本の植立です。いつもお世話になっている麻酔医の元橋先生にも駆け付けて頂き、静脈内鎮静法にて対応いたしました。
午後は左下1本の植立です。こちらも術式自体特に問題もなくスムーズに進みました。
ただ昼休みを挟んで、午前のラストと午後一番のアポイントメントだったので、時間がなく片付けと準備がとても大変になってしまいました。スタッフには申し訳なかったと思っています。
カテゴリー:インプラント 投稿日:2008年12月20日

